

























|
|
Bayside Cosmetic Reconstructive Enamel Replacement
Tooth Enamel Acid Erosion
Enamel Erosion is a dental condition or result that has a seemingly infinite number of causes.
 |
| Mountain Dew addiction |
The actual "process" of enamel breakdown is essentially similar. Basic chemistry and molecular principles that operate in the "enamel environment" become disturbed.... unbalanced. Most of us practice the basic interventions for correcting these inbalances on a daily basis.
Key Variable: Saliva
Brushing out teeth after each meal (not too soon), brushing in the morning when we get up.... and before we go to bed. Basic teeth brushing serves to remove food particles and flush the oral cavity, which stimulates saliva production.
 |
| Soft Drink Enamel Acids |
When saliva production and it's presence is not routinely overwhelmed with highly acidic foods, tooth enamel can endure a lifetime, given routine dental care. Since tooth structures and enamel are not self-regenerating... any perceived changes in saliva production (the experience of dry mouth) should not be overlooked or disregarded.
Acidity Environments
Highly acidic conditions in the oral cavity occur for two reasons, encompassing a variety of causes:
Excess consumption of acidic foods
- Soft Drinks (soda pop)
- Sports Beverages
- Energy Drinks
- Energy Bars
- Sugared candies
- Sour candy
- Lime - Lemon sucking (citrus fruits)
- Processed snacks with high sugar content
- Coffee and tea beverages flavored with sugar
Xerostomia - Reduced levels saliva (also known as dry mouth)
- Feature of an existing syndrome (e.g., Sjogren's Syndrome)
- Diabetic medications
- Post chemotherapy medications
- Congenital Xerostomia
- Amphetamine abuse (cotton mouth - meth mouth)
- Alcohol based mouth rinses
- Allergic reactions to restorative dentistry components
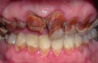
|
| Severe Erosion - Saliva Chemistry Imbalance |
Early Intervention
Enamel destruction is cumulative. Patients should not assume that early signs of enamel deterioration will be reversed with mere changes in habits or eating-drinking preferences.
Many dentists, like Dr. Scalzitti, can provide a variety of medications or treatments that increase saliva production, including Salanium, Sensodyne toothpaste products, Oasis (saliva substitute) and a wide variety of Biotene products... some of which contain salivary enzymes (Lactoperoxidase, Lactoferrin, Lysozyme) that boosts and replenishes saliva's own defenses.
MI Paste is also available which helps to aid the natural remineralization process. In-office and at-home treatment programs can be developed for many patients.
|
Successful Eroded Enamel Reconstruction |
Enamel Rehabilitation
In situations where enamel deterioration is becoming more evident, enamel resurfacing or replacement can be achieved through a choice of lamination technologies (porcelain veneers) or entire tooth replacement via cemented crowns, porcelain jackets or implant supported crowns.
Representative Treatment Example
The last two pictures in our photo series represents a recent treatment of an actual enamel replacement and reconstruction need for a young adult patient. Combinations of porcelain crowns, veneer laminates and dental implants were used to recreate what Mother Nature once provided for this young male patient.
Questions?
Contact Dr. Bram and his staff at (718) 229-3232 to arrange a consultation for determining what options are available for different degrees of xerostomia symptoms. Learn more about teeth and enamel replacement technologies that are now available.
Or, you can use our on-line Ask The Dentist form to send any specific questions related to the material on this page directly to Dr. Bram. He will respond to you directly with the information you are seeking.
|